 |
矯正治療について |
どのように治療は進んでいくのでしょう |
 |
まず最初にすることは、カウンセリングです。お口の中の健康状態と歯並びの状態を確認し、現在の状況や考えられる治療方法や期間などをいくつかおおまかにご説明します。もしも虫歯や歯周病などが見つかった場合には、そちらの治療を済ませてから矯正治療に入ることになります。
次に精密検査です。レントゲン写真、歯形、顔と口の中の写真をとります。必要と思われた場合には顎の運動の記録、筋電図、鼻の通気度測定を行うことがあります。それらの結果を総合的に診断し、最終的に1つないし複数の治療方針を考えます。精密検査の次の回にその方針をお話しして患者さんに納得していただけたら、いよいよスタートです。
|
治療の方法 |
 |
矯正治療は主に小学生から(まれに4、5歳から)上は60代くらいの成人まで幅広い年齢層の方が受けられます。乳歯を持つ子供と永久歯だけになった大人では治療方法はもちろん異なります。まだ体が成長中の中学生と成人とでは治療方法が異なることもあります。私たちは年齢・性別・社会的環境など様々な事柄を考慮に入れ、個人個人にあった治療方針を選択します。
混合歯列期とよばれる乳歯と永久歯のどちらもが口の中に存在している時期(6〜11歳くらい)では自分で取り外しのできる装置がつかわれることが多く、学校などでも使用してもらわないと効果が出ないものもあります。
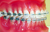
永久歯の矯正治療は主として欧米でbrace(ブレース)と呼ばれる装置を使います。個々の歯にブラケットという装置をつけてワイヤーで動かしていくものです。歯が動くときには最初痛みを伴いますが調整後通常2,3日で治まります。(個人差はあります。)
歯並びがなおったあとは、後戻りを防ぐため、リテーナーと呼ばれる装置を使います。半年から1年近くは1日中、その後1,2年は毎晩寝るときに使います。
|
治療費について |
 |
| ■ |
全体治療にかかる費用は以下の通りです。部分矯正に関しては治療する歯の本数により異なりますので、診査の上、判断いたします。 |
| 相談料 |
3,150円
(ただし、むし歯等他の治療で通院中の方は無料) |
| 精密検査および診断料 |
52,500円 |
| 治療費 |
367,500〜735,000円プラス毎回処置料2,100〜5,250円
(装置除去時処置料10,500円) |
| ※舌側(裏側から)矯正の場合は上記の約1.5倍となります。 |
注意してほしいこと |
 |
矯正治療でもっとも大切なことは1本1本の歯を大事にすることです。歯並びが良くなっても歯そのものが健康でなくては意味がありません。矯正装置は残念ながら歯ブラシなどの口の中の清掃には大変邪魔なものですから、普段の何倍も気を使わなければなりません。しかし、その苦労を乗り越えて美しく健康な歯を得られた矯正の患者さんはだれよりも歯に対する関心が高く、とてもご自身の歯を大事にしている方が多いと実感しています。
当院のむし歯予防プログラムを矯正治療中の患者さんには矯正処置料金の範囲内で行っています。主に取り外し式の装置を使っていただいている方で予防が必要と判断した場合は、こちらから積極的に行っています。それ以外の方でご希望の方は遠慮なく担当の歯科医師、歯科衛生士におたずね下さい。 |
|
|
 |