松崎ファミリー歯科矯正歯科
医院案内 関連リンク サイトマップ お問合せ
歯周病
歯周病とは?
歯周病治療
治療例
Q&A
矯正歯科
不正咬合とは?
症例
矯正治療
Q&A
審美歯科
治療の種類
治療費について
Q&A
予防歯科
虫歯とは?
虫歯予防処置の流れ
歯ブラシの種類と磨き方
Q&A
小児歯科
5歳までの歯の健康
小学生の歯の健康
Q&A
咬合再生治療
咬合再生治療とは
関連する症状
治療の流れ
Q&A
医療法人社団 CERA
松崎ファミリー歯科矯正歯科
〒760-0007
高松市中央町1-5 MBSビル6F
TEL 087-862-6222
TEL 087-831-9161(矯正)
FAX 087-862-8050
矯正歯科
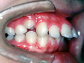
HOME > 矯正歯科 > 症例

症例

叢生(乱ぐい)

■治療前

■治療後




上顎前突

■治療前

■治療後




下顎前突

■治療前

■治療後


 ▲ページトップへ
Copyright (C) 2004 Matsuzaki Dental.com All Rights Reserved.