| 初診・診査・ホワイトニング゙の説明 |
| ▼ |
| レントゲン・口腔内写真 |
| ▼ |
| 診断・カウンセリング |
| ▼ |
| (虫歯・歯槽膿漏などの治療) |
| ▼ |
| ホワイトニング処置 |
| ホワイトニング処置は1週間に1回の割合で計3回通院します。1回の治療時間内で行う手順は次の通りです。(約60分) |
| 1) |
治療前の色合わせ |
| 2) |
歯の汚れ除去(歯面清掃) |
| 3) |
歯肉保護剤塗布、ホワイトニングジェル(漂白用薬剤)を塗布し、光照射 |
| 4) |
光照射後、ホワイトニングジェルの除去 |
| 5) |
3・4の手順を3回繰り返す |
| 6) |
フッ素塗布 |
| 毎回終了後にデジタルカメラで撮影します。写真データを元にカウンセリングを行います。 |
|
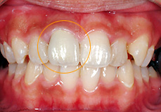
| 上顎6歯にホワイトニング施行例 |
 |
| <処理前> |
 |
| <処理中> |
 |
| <処理後> |
|