 |
治療例 |
症例1:中等度歯周炎患者の治療例 |
 |
| 患 者 |
45歳、男性 |
| 診 断 |
成人性歯周炎 |
| 所 見 |
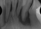
前歯部では、歯間が離開しており、唇側傾斜がある。全顎的に歯肉の炎症も著明である。レントゲンでは、全顎的に根の1/2程度の骨吸収がある。また一部には垂直性の骨吸収があり、第一大臼歯部は、根尖部まで吸収している部位もある。 |
| 治療方針 |
細菌の機械的除去を行うとともに,口腔清掃指導を行い再感染を予防する。同時に局所因子にも対応するとともに,歯周外科処置を行い,患者が細菌をコントロールしやすく,また再感染しにくい環境をつくる。 |
| 治療計画 |
歯周初期治療(TBI、SRP)
歯周外科処置(人工骨移植、GTR法等含む)
(上下顎左右臼歯部、上顎前歯部)
MTM(上下顎前歯部)
メインテナンス(SPT) |
 |
 |
| 初診時口腔内写真・レントゲン写真 |
|
 |
 |
| メインテナンス時口腔内写真・レントゲン写真 |
|
| 歯周治療を行うことによって、初診時にあった歯肉の発赤・腫脹はなくなりました。レントゲンにおいても、初診時は骨梁が不明瞭だったのが、はっきりとしてきました。治療が終了して、定期的なメインテナンスを行い始めて10年以上が経過していますが、現在でも特に大きな問題を起こすことなく良好な経過をたどっています。 |
症例2:薬剤の関与が疑われる中等度歯周炎患者の治療例 |
 |
| 患 者 |
61歳、女性 |
| 診 断 |
薬剤の関与が疑われる成人性歯周炎 |
| 所 見 |
全顎的に歯肉の増殖がある。特に左側下顎臼歯部は、歯冠を覆うほどの歯肉増殖がある。レントゲンでは、全顎的に水平的な骨吸収がある。また小臼歯部に垂直性の骨吸収がある。 |
| 治療方針 |
患者は、降圧剤、抗ヒスタミン薬を服用しており、このことが歯肉の増殖に関与していると考えたため、内科医と相談のもと、服用薬の変更、減量を行う。また、歯肉縁下の感染源の除去を行うとともに、局所的に炎症を助長させる局所要因を改善すること。 |
| 治療計画 |
薬剤の変更・減量
歯周初期治療(TBI、SRP、不良補綴物の再製)
歯周外科処置(左下臼歯部、上顎左右臼歯部)
MTM(左下臼歯部)
メインテナンス(SPT) |
| 初診時にあった、歯を覆い隠さんばかりの歯肉の腫脹は、歯周治療と薬剤の減量・交換によってなくなりました。上下の写真を見比べたら、初診時にどれほど歯肉が腫脹していたか良く分かると思います。歯周治療が終わり、メインテナンスに移行した現在も、歯肉が腫脹することはなく、良好な経過をたどっています。 |
症例3:特殊なタイプの歯周病 |
 |
| 早期発症型歯周炎(侵襲性歯周炎):若年者に発症するタイプの歯周病です。歯周病が重症な場合が多いので要注意です。早期の徹底した歯周病治療が歯を保存するためにも必要です。 |
| 患 者 |
29歳、男性 |
| 主 訴 |
歯肉の腫脹、および咀嚼障害 |
| 現 病 歴 |
10代の頃から、歯肉腫脹を自覚していたが、特に歯周病の治療を受けることなく放置。20代になり疲れたときや体調が悪い時に歯肉が腫脹し,痛みを感じることが多くなった。歯が自然脱離し、物が食べにくくなったため、治療を希望して来院した。 |
| 全身疾患 |
特に無し |
| 診 断 |
早期発症型歯周炎 |
|
壊死性潰瘍性歯周炎:歯肉の糜爛(びらん)や潰瘍を特徴とする歯周炎です。原因不明だが、全身疾患や金属アレルギー、そしてストレスなどによる体調不良との関連が疑われています。糜爛や潰瘍のある部位を清潔にたもつことが大切ですが、金属アレルギーの診断がついた場合は、口腔内の金属の除去が必要になる場合もあります。 |
|
薬物性歯肉増殖症:抗てんかん薬のフェニトインや、免疫抑制剤のシクロスポリン等を服用している患者に見られる線維性の歯肉増殖を主症状とする疾患です。また、降圧剤の中にも歯肉増殖を副作用とする薬剤があります。治療法としては、歯肉の外科的な切除が一般的です。 |
|
|
 |