 |
歯周病とは |
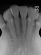
| 歯周病(歯槽膿漏)とは、歯ぐき(歯肉)と歯の間の溝(歯肉溝)に、細菌が感染し発症する慢性の炎症性疾患で、感染症の一つです。 |
初期段階では、炎症が歯肉に限局しておこっているため、歯肉炎と呼ばれますが、やがて炎症が歯の周りの組織に広がると、歯周炎へと進行していきます。歯周炎になると、歯を支えている骨(歯槽骨)が溶けていきます。これを放置していると、歯肉から膿(うみ)が出てきたり、歯がグラグラしてきたりして、やがて歯が抜け落ちます。歯肉炎では、歯肉は炎症のため赤く腫れていますが、歯槽骨の吸収はありません。一方、歯周炎では、炎症が歯周組織に広がるため、歯槽骨の吸収や歯肉の退縮が見られます。
歯周病は、細菌が原因としておこる病気ですが、その他にも全身的な要素、たとえば糖尿病、喫煙、年齢、体質などが発症・進行に大きく関わる複雑な病気です。 |
|
|
 |